Contact Form
Oral Hygiene
Regular professional cleaning combined with looking after your teeth and gums well at home will help keep your oral health in check, which means a fresh breath and healthy smile.
Dental Hygiene treatments range from the care of children’s teeth and gums, to more complex periodontal (gum) treatments and the removal of plaque and calculus (the deposits that collect on the teeth) and staining, such as tea, red wine, and tobacco. All treatments are carefully carried out without discomfort. Regular hygiene treatment will deliver healthy gums and a brighter smile!.
We are also keen to educate patients on the correct technique of brushing and flossing and give advice on how to maintain a good oral health routine to maintain a healthy smile. Your dental hygiene is important to us and, with our dedicated dental hygienist, your teeth and oral health is in good hands. Your dentist will advise how often you should see your dental hygienist, but should you feel you would like to book additional appointments with them, please ask at your next visit.
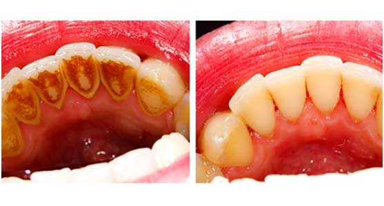
Stain Removal
Seeing our hygienist to examine the condition of your teeth is important to identify plaque or tartar build-up, presence of gum disease or tooth decay, to discuss the things that can continue to cause discolouration of your teeth, and to talk about stain removal options.
Stained teeth can be a sign of ill-health and disease that can spread throughout your body. By receiving proper dental care, you can improve not only your overall appearance but also your oral and general wellbeing. Having teeth that look good also encourages smiling and make you feel more confident in yourself.
You can now see the hygienist to have the stains removed. This is something you can do as often as you like as it doesn’t damage the teeth .
We offer Hygienist appointments and recommend that our patients attend for regular cleaning. We focus on improving and maintaining the health and longevity of your gums. One of the most common problems associated with unhealthy gums is bad breath (Halitosis), bleeding and gum recession. If caught early our dentists can help you in alleviating this common problem.
The practice Offers
- Airflow polishing
- Microbrasion – This is a useful conservative technique to remove defects close to the surface of enamel;
Airflow Tooth Polishing
Clean teeth not only make you look and feel good, they also ensure fresh breath, help you feel confident, give you a brighter smile and are a vital part of maintaining healthy oral hygiene.
A fresh New Look
If you want your smile to be the best it can possibly be, you need to go for Airflow.
Airflow is a cosmetic treatment that results in whiter teeth!
It is a step up from the standard Scale and Polish session since it combines the power of a thorough clean with a cosmetic feel. A jet of compressed air, water and fine sodium bicarbonate particles is blasted under high pressure at the surface of the teeth. It’s much more effective than a standard scale and polish and makes an amazing difference to most smiles. It cleans teeth thoroughly and removes surface staining, giving an instantly whiter smile.
It works through the combined power of three things – air, sodium bicarbonate and a jet of water. To get the best results some prior scaling may be required. We will be able to advise you whether or not you need scaling at your appointment.
The results are immediate – you’ll feel and see the difference as soon as the Airflow dental treatment has been completed.
No More Stains
Tea and coffee drinkers will know the effects that their choice of beverage has on their smile. Teeth that used to be white end up looking brown. Smokers will experience a similar result.
But with Airflow, one treatment can get rid of all the plaque and discoloration that those habits have left behind. A fresh clean feel and a great smile!



NAVIGATION 